毛孩子玩耍受伤后不愿进食、脸部突然肿起,甚至在食物旁发现“白色碎片”——这些看似偶发的小状况,可能都与宠物牙齿损伤有关。 牙齿断裂(齿折)不仅会带来疼痛,还可能会引发感染,影响眼眶、鼻腔等部位,甚至危及整体健康。通过来自禾坛宠物医院的一例真实就诊案例,带大家了解宠物齿折的常见成因、处理要点以及日常防护中容易被忽视的细节,帮助宠物主人及时识别风险,科学应对。

当毛孩子兴奋玩耍后,你突然发现食物上沾了血迹,或是在玩具旁捡到一小块“白色碎片”——这很可能就是牙齿断裂(齿折)的警报!牙齿断裂不只是疼痛,更会埋下健康隐患。若不及时处理,暴露的牙髓会发炎、感染,并可能蔓延至眼眶或鼻腔,导致脸蛋肿包、食欲全无。
随着诊疗技术的发展,部分齿折在早期可通过规范治疗进行干预。
案例回顾
一例犬只齿折引发的面部感染
今年8月底,活泼的4岁中华田园犬“肉肉”突然不吃硬粮,左脸下方还肿起一个大包。主人立即带它来到禾坛宠物医院。

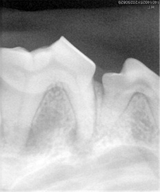
接诊的姜医生检查后发现,肉肉的上颌第四前臼齿严重齿折。因长期啃咬硬骨头,加上某次玩耍用力过猛,牙齿断裂后未及时处理,导致牙髓暴露感染,脓液蔓延至眼眶下方,形成了触目惊心的肿包。

姜医生迅速制定方案:鉴于感染已扩散,微创拔牙是根除感染源的最佳选择。

术后第二天,肉肉恢复进食;第三天,肿包完全消退,重新变回活泼爱笑的毛孩子。

什么是齿折?
常见成因与处理要求
齿折是牙齿因外力撞击或啃咬硬物(如硬骨头、金属玩具、鹿角)而出现的断裂、裂纹或破损。

常见成因
玩耍中撞击家具、摔跤
啃咬过硬零食或玩具
中大型犬玩拔河游戏时用力过猛
黄金处理流程
若找到断齿:立即浸泡在牛奶或生理盐水中,尽快送医。
若找不到断齿:尽快就医,通过专业检查评估状况。
黄金治疗期:
成年宠物2天内、幼宠2周内就诊,可能通过活髓治疗保留牙齿活性。若已感染(如牙髓炎、脸肿),则需拔牙或根管治疗。
日常预防建议
降低齿折发生风险
玩具选择:安全第一
推荐:柔软有弹性的橡胶玩具
避免:硬质骨头、鹿角、金属、硬尼龙等易导致断裂的材质
测试方法:用指甲按压玩具,能留下痕迹则相对安全
零食与饮食
主食可选择有一定硬度的优质粮,辅助摩擦牙垢
零食认准VOHC认证的洁牙产品
避免长期喂食易残留的软粮
家庭口腔护理
工具:宠物专用牙刷+牙膏(切勿使用人用牙膏)
频率:理想每日1次,至少每周2—3次
训练:循序渐进,让毛孩子逐步适应
专业维护不可少
年度口腔检查:及早发现潜在问题
定期洗牙:在安全麻醉下进行超声波洁治,拒绝“无麻醉洁牙”
特别关注:小型犬(如贵宾、约克夏)更需注重牙周护理;猫咪需警惕牙吸收和口炎
提醒
这些异常情况需尽早就医
毛孩子忍痛力强,等症状明显时,问题可能已很严重。请多留意:

是不是突然不爱啃硬粮,吃饭速度也变慢了
有没有频繁用爪子挠嘴巴的行为
玩具或食物上是否出现血迹
转载请注明来自今日闵行官方微信