A型主动脉夹层,素有心血管疾病“夺命杀手”之称,其起病急骤、进展迅猛,死亡率极高。当人体最粗大的主动脉血管壁内膜撕裂,血流涌入形成夹层,血管随时可能破裂引发大出血,或严重影响心、脑等重要脏器供血,直接危及生命。数据显示,该病发病后每小时死亡率约1%,保守治疗效果不佳,急诊手术是挽救生命的关键,而这类手术也是心脏外科领域难度最大、风险最高的手术之一。
新华医院奉贤院区心胸外科近期连续成功实施两例高难度A型主动脉夹层外科手术,患者均已康复出院,彰显在急危重症救治领域的权威实力与专业水准。
深夜紧急救援,
为脑缺血患者打通“生命线”
11月初的深夜,一位60岁左右的男性患者因突发胸背部剧烈疼痛被送往新华医院奉贤院区急诊。主动脉CTA检查结果显示,患者确诊为A型主动脉夹层,夹层范围从心脏根部延伸至胸、腹部及下肢,更危急的是,夹层已累及供应右侧大脑的右颈总动脉,导致血管完全闭塞,右侧大脑血供中断。

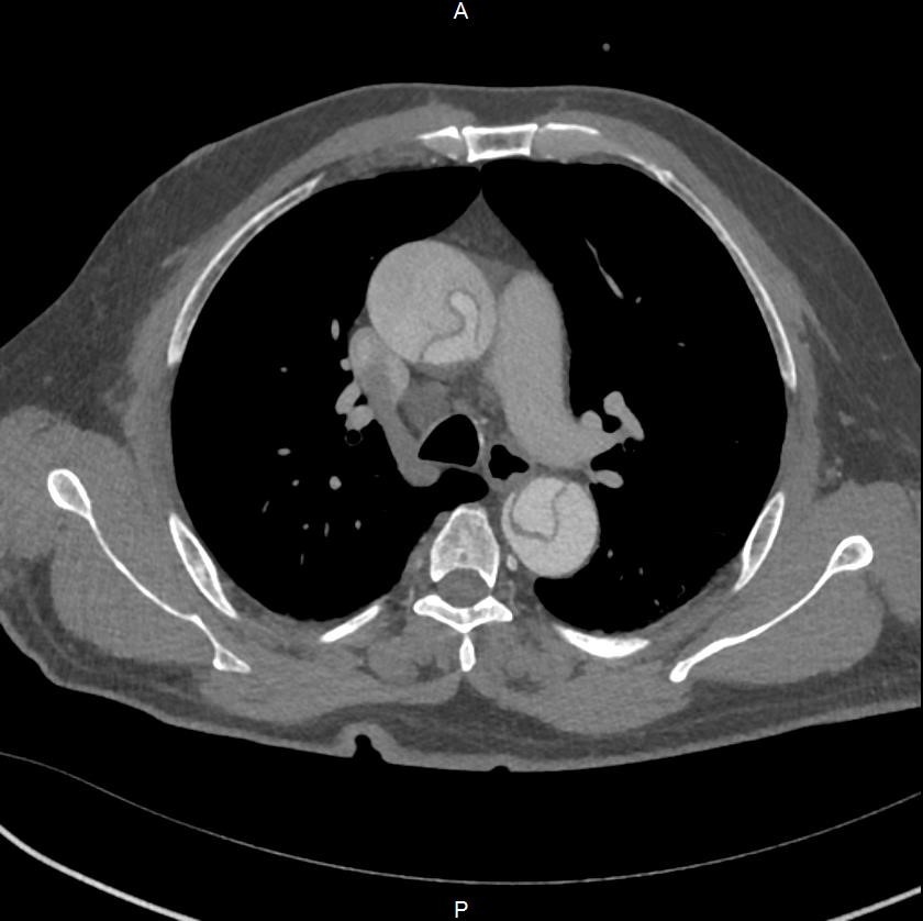
图1:典型A型主动脉夹层累及升主动脉

图2: 供应右侧大脑血供的大动脉被夹层挤压闭塞
入院时,患者左侧肢体已无法活动,意识逐渐模糊,濒临昏迷,生命岌岌可危。“时间就是大脑,时间就是生命!”若长途转运,大脑每缺血一分钟,恢复希望便减少一分。面对紧急状况,心胸外科主任当机立断,决定在奉贤院区实施手术。
这类夜间急诊复杂心脏大血管手术,对多学科协作要求极高。医院迅速统筹协调,杨浦院区即刻派出体外循环、心脏超声及外科骨干力量支援。奉贤院区麻醉科毛燕飞主任、李思源副主任医师主持麻醉,此时患者已出现意识障碍及颅高压表现。
手术于深夜启动,团队争分夺秒建立体外循环,为生命保驾护航。在深低温停循环、脑部顺行灌注的保护下,外科团队成功为患者实施主动脉瓣置换、升主动脉及全主动脉弓置换、降主动脉支架植入(孙氏手术)等一系列复杂操作。经过近10个小时的通宵奋战,患者生命体征趋于稳定,安全返回心脏监护室。

图3:术后复查右侧颈总动脉重新开通,脑部供血良好
术后患者并未立即苏醒,监护室杜隽铭、殷娜主任团队迅速评估,复查血管造影显示脑部血供已恢复通畅,无大面积脑梗死。在张海波护士长带领的护理团队精心照护下,患者历经数日康复,逐渐从昏迷中清醒,肢体活动能力逐步恢复,从微动到自如,最终能够完成指令、开口发声。如今,患者已康复出院,与医护人员结下深厚情谊。
精准拆弹,
为心衰患者重启健康人生
11月下旬,一位60多岁的女性患者因严重胸闷、气急被送入新华医院奉贤院区急诊。检查发现,患者升主动脉瘤样扩张至6.5cm,远超正常范围,且合并主动脉夹层,如同一颗“不定时炸弹”,随时面临破裂风险。同时,患者还伴有重度主动脉瓣关闭不全、大量胸腔积液及心力衰竭,病情复杂且危急。

图4:升主动脉显著扩张合并夹层,还提示胸腔积液
心胸外科团队迅速响应,结合患者病情制定了精准的手术方案,成功为其实施“带生物瓣主动脉根部置换(Bentall手术)+升主动脉及部分主动脉弓置换”。手术过程顺利,患者恢复迅速,术后第12天便平安出院。

图5:出院后随访,患者恢复良好
近日门诊复查结果显示,患者心功能明显改善,所有心衰症状均已消失,彻底摆脱了血管破裂的恐惧,重新开启健康生活。看到患者笑容满面地回到医院随访,医护团队的所有辛劳都化作了欣慰与成就感。
用硬核实力,
守护百姓生命健康
连续两例A型主动脉夹层高难度手术的成功,不仅成功挽救了患者生命,更印证了新华医院奉贤院区心胸外科团队的成熟与过硬实力。经过磨合与历练,该团队已形成配合默契、技术精湛、能打硬仗的专业队伍,完全具备开展各类复杂心脏大血管手术的能力。
目前,新华医院奉贤院区心胸外科已常规开展心脏瓣膜修复/置换、冠状动脉搭桥等各类心脏手术。医院将持续发挥区域医疗中心的引领作用,让奉贤及周边地区百姓在家门口就能享受到优质、高效、便捷的优质医疗服务,为守护人民群众生命健康筑牢坚实屏障。
