寒冷的冬天
泡个温泉、蒸个桑拿
舒适度直接拉满
但你知道吗?
在温泉池、汗蒸房、暖气房等
温暖密闭环境内
人体可能因散热障碍
出现中暑症状
严重时甚至会发展为热射病
泡温泉突然昏迷?
热射病并非“夏季专属”
“我接诊过冬天泡温泉后昏迷就医的热射病患者。” 福建中医药大学附属第三人民医院急诊科副主任吴文思说,该患者在温泉池中长时间浸泡,出现头晕、乏力直至昏迷,经诊断正是热射病。
冬季为何也会得热射病?
热射病是人体在高温、高湿环境下,因体温调节功能失衡,产热大于散热,导致核心温度迅速升高(通常超过40℃),并伴有谵妄、抽搐、昏迷等意识障碍及多器官功能损伤的致命性疾病。

不少人以为这种病只会在夏季户外劳作的人群中出现,但事实并非如此。
“热射病的本质是身体产生的热量,远远超过了它能散发的热量,导致热量在体内蓄积,与季节无绝对关系。”吴文思解释,“冬天虽然室外环境温度低,但在一些特殊情况下,人体的产热和散热平衡同样会被打破,尤其是当‘散热’这个关键环节出现严重障碍时。”来看一个案例。
双肺全白!竟是蒸桑拿惹的祸
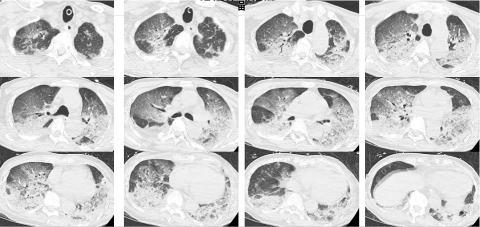
2024年12月,浙江杭州,酷爱蒸桑拿的韩爷爷(化名)于午饭后前往洗浴中心。不料刚进去没多久,整个人就昏了过去并口吐白沫,周围人帮忙拨打了120,将他送入医院。
入院时,韩爷爷意识不清,血压、心率下降,医生随即为他安排头颅、胸部CT和肺血管CTA检查,结果显示,老人的双肺出现大面积白色影像。经会诊,韩爷爷被确诊为热射病诱发的肺水肿。

图源:潮新闻
冬季热射病容易盯上谁?
那么,冬季在什么情况下易诱发热射病?哪些人群又需格外警惕?
两大风险场景
密闭的暖气房、温泉池或汗蒸室:冬季室内供暖后,尤其是北方地区,室温常维持在25℃以上。若长时间处于这种温暖、干燥且不通风的环境中,体温调节能力较弱、对温度不敏感人群可能在无意识状态下脱水,进而引发隐性体温升高。

穿着过于紧身的衣服高强度运动:冬季进行剧烈运动(如马拉松、高强度健身房训练)时,人体产生的热量会剧增。若穿着过于厚重、透气性差的衣物,汗水无法蒸发,在体表形成“保温层”,会严重阻碍散热。运动结束后,若未能及时擦干汗水、更换干爽衣物,且继续停留在温度较高的室内,患病风险同样会显著上升。
三类高危人群
部分老年人因身体机能衰退,对高温及口渴的感知能力显著下降;
部分神经系统疾病患者(如帕金森病、脑卒中后遗症),其体温调节中枢受损;
长期服用特定药物(如抗胆碱能药物、利尿剂、精神类药物)人群,排汗和体温调节功能会受到影响。

图源:图虫创意
即便在看似舒适的室温下久坐、睡眠,上述人群也可能不知不觉中出现体内热量蓄积的情况。
不慎“中招”怎么办?
可通过三步紧急处理方法来解决:
脱离环境
迅速让患者脱离高温、高湿环境,将其转移至通风阴凉处。

持续降温
持续对患者采取降温措施,如冷水擦拭皮肤、冰敷等。
防止误吸
当患者陷入昏迷,应将其头偏向一侧,保持呼吸道通畅,及时清除气道内分泌物,防止误吸。
热射病是体内热量“暴动”
冬季的“暖”也可能悄然致病
防范热射病要打破季节思维定式
若冬季出现不明原因高热、昏迷
应警惕热射病风险
来源:央视财经、国家应急广播
戳这里为我加颗小星星⭐️
公众号一言不合就改版,
“星标”我才能更方便接收消息哦。
现在只需三步: