患者是一名67岁的女性,两年来一直胸闷气短,下肢水肿,有时脚肿得连鞋都穿不下,并长期服用心力衰竭药物。今年4月她在外院进行主动脉瓣植入手术,近期症状又加重。她还患有肝硬化、三系减少等疾病,整体健康状况差,病情复杂。来到交医附属松江医院后,心内科评估显示,她三尖瓣环严重扩张,即心脏右侧的“门”松得合不拢,反流程度达“极重度”,手术难度和风险较高。

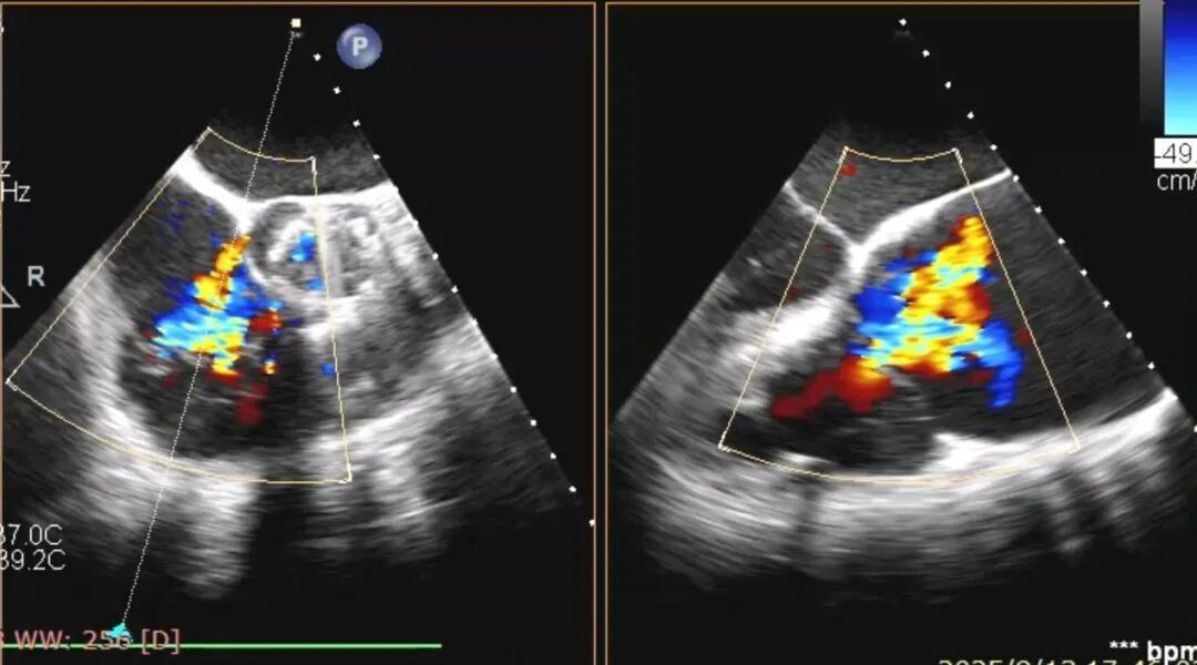
术前食道超声提示三尖瓣重度反流。

冠脉CTA提示三尖瓣瓣环距离右冠最短只有3.77mm。
面对患者TAVI术后操作困难、肝硬化合并静脉曲张等潜在风险,心内科主任侯磊带领住院医师孙涛等团队成员反复评估、周密准备,在与患者家属充分沟通后,决定实施K-Clip三尖瓣环成形术,以微创方式解决患者痛苦。

结构性心脏病微创瓣膜介入团队。
侯磊介绍,重度三尖瓣反流在老年群体中较为常见,传统治疗手段有限。K-Clip作为国内首个获批上市的微创介入治疗三尖瓣反流的器械,为患者提供了新的治疗选择。“K-Clip能在保证治疗效果的同时,尽可能减少患者创伤,对于高龄以及身体条件无法承受开胸手术的患者来说意义重大。”侯磊说。

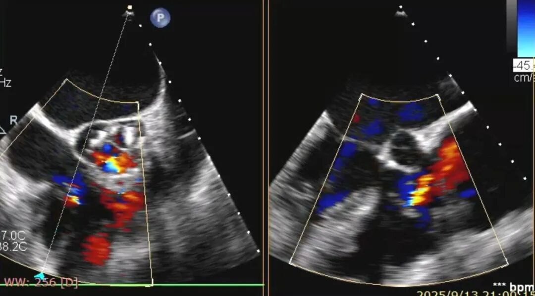
术后食道超声提示反流情况明显好转。
手术当天,术前经心脏超声及CTA检查,患者三尖瓣环扩大明显,反流位置复杂。手术团队根据影像结果精准规划,分别于后瓣环及前、后瓣环处植入两枚K-Clip夹合装置,就像在心脏的后背“门框”和前后交界各夹一枚“夹子”,增强瓣叶对合。术中,患者血流动力学稳定,手术顺利完成。术后即时评估显示,患者心脏由原来的“大漏水”变成“轻微渗水”,喘和肿也明显减轻。手术效果显著,患者症状迅速缓解。
记者:李天蔚
图片由受访单位提供
编辑:桂可欣 张小小
审核:周样波 周正豪
