
“我又能逛菜场、跟老姐妹遛弯啦!”

年近8旬的华阿姨在上海市同仁医院骨科复查时,笑得像个孩子。
疤痕体质让她对手术望而却步
谁能想到,四个月前,她还因严重的右膝关节疼痛,连日常行走都成问题。

华阿姨患有右膝关节骨关节炎多年,近期病情加重,甚至连上下楼梯都成了难以忍受的折磨。她辗转沪上多家知名医院,得到的诊断都是膝关节骨关节炎晚期,建议进行关节置换手术。
然而,特殊的身体情况让她对手术望而却步。华阿姨如今已年近八旬,患有高血压、糖尿病等多种基础疾病,这让她对手术心存疑虑。除此之外,更重要的,华阿姨是严重的疤痕体质。
“我1999年做乳腺癌手术后,伤口留下了一条像蜈蚣一样的疤痕,不仅突出明显,按上去还会疼。”华阿姨展示着身上的疤痕,无奈地说,“平时稍微受点伤,都会留下很大的疤痕。我特别担心膝关节手术后也会这样,到时要是膝盖这里疤痕疙瘩一大块,说不定比不手术还要糟糕哩!”

由于疤痕体质的顾虑,华阿姨忍了一年又一年。
单髁置换带来希望
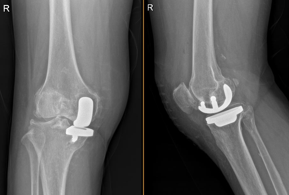
转机出现在她遇到上海市同仁医院骨科程千主任后。华阿姨是通过隔壁邻居介绍前来就诊的,经过细致检查,程主任发现了一个重要细节:华阿姨的膝关节磨损主要局限在内侧间室,这种情况非常适合进行单髁置换手术——这是一种比全膝关节置换更微创的保膝治疗方法。
“单髁置换只需要更换受损的部分关节,”程千主任耐心解释道,“手术创伤更小、保留的骨质更多、术后恢复更快,特别适合像华阿姨这样病变局限的患者。”
特殊体质需医生更专业更耐心
手术中,程主任使用锐性分离减少创伤,使用特别细的缝线,采用精密的缝合技术,虽然这大大增加了手术时间和操作难度,但却能最大限度减少皮肤刺激和疤痕形成。

术后,医护团队给予华阿姨无微不至的关怀:精心换药、个性化康复指导、定期随访,每一个环节都一丝不苟。在医患双方的共同努力下,华阿姨的康复过程十分顺利。
术后四个月复查时,华阿姨欣喜地展示手术效果:膝关节疼痛明显缓解,功能恢复良好,而最让她担心的手术疤痕也非常轻微,与之前的手术疤痕形成鲜明对比。

专家提醒
膝关节骨关节炎是常见老年疾病,但治疗方案需要因人而异。单髁置换术作为保膝疗法的重要手段,适用于病变局限于单一间室的患者,具有创伤小、出血少、恢复快、保留本体感觉好的优点。同时术后康复锻炼对关节功能恢复至关重要,患者应在专业指导下循序渐进地进行康复训练。
专家简介

程 千
医学博士、副主任医师、副教授、硕士研究生导师,骨科行政副主任,上海交通大学骨关节医疗科技与医学人文交叉创新人才培养基地主任,上海市医学会运动医学专科分会青年委员会副主任委员,上海市中西医结合学会运动医学专委会常务委员,上海市中西医结合学会运动医学专委会保膝学组组长,上海市中医药学会运动医学分会委员,上海市科学技术普及志愿者协会健康科普骨科与运动医学科普专委会委员,中国医药教育协会科普健康教育工作委员会委员,中国老年保健协会骨关节分会委员。从事骨科工作20年,熟悉骨科常见疾病诊治,2024年赴英国牛津大学交流,2013年赴德国Johanna Etienne Hospital交流,师从德国肩肘外科大会主席、南部德国骨科学会主席、著名运动医学及关节外科专家Jerosch教授,学习关节置换与关节镜技术。主编骨科专著2部,高校来华留学生英文骨科教材1部,上海交通大学医学院“十四五”规划骨科教材1部,副主编1部,发表SCI及核心期刊论文20余篇,获国家发明专利1项,实用新型专利10项,主持省厅课题2项,上海市卫健委课题1项。
擅长骨关节疾病微创治疗,髋、膝、肩、肘及踝等关节置换及关节镜技术;熟练开展保膝治疗、计算机导航下机械臂辅助单髁置换术、交叉韧带重建术;尤其在肩袖损伤、肩周炎、膝关节半月板及韧带损伤的关节镜治疗上有一定造诣。
骨关节专家门诊:
周一上午、周三上午、周四上午
特需门诊:周一下午
供稿:柴 斌 、方 丹
审核:程 千
校审:戴 云
预约就诊请关注公众号:
(配图源自网络,如有侵权请通知删除)
欢迎关注同仁医院官方微信服务