
9月16日7时30分,75年来登陆上海的最强台风“贝碧嘉“强势来袭,暴风雨圈直击申城。瑞金医院近千人赶来医院上班,坚守岗位,为病人提供医疗服务,全力守护市民健康。
在未雨绸缪中
瑞金人的争分夺秒
台风来势汹汹,瑞金医院提前启动台风天气相关应急预案。各科室人员全力以赴,不顾风雨,在极端天气下依旧保持如常运转。
“台风来了,但门诊不能停,出发!”“大家注意安全,7点刚过踏进医院大门”,担心台风天气无法准时来到诊室开诊,不少门急诊的医护人员选择提前到医院。




<<左右滑动查看更多>>
手术室、麻醉科保障各个病区正常进行手术,医护团队在狂风暴雨中仔细检查每间手术室的环境,守护患者健康与安全。药剂科全员到岗,通过自查和科室巡视做好台风来临前的准备工作,保障医院的药品供应。全体放射科工作人员积极相应,加固科室设施以防风雨侵袭,同时轮流坚守岗位,共同维持着急诊、门诊及住院患者的检查服务不中断。后勤保障处、保卫科等行政管理部门工作人员在各个辖区加强对薄弱环节的点对点检查,解决安全隐患。同时确保防汛防台物资和应急人员的准备到位,防微杜渐。



在暴风疾雨中
瑞金人的逆风前行
“哪怕只有一个病人,也要坚守岗位。”这一句,道出了所有台风天坚守一线岗位瑞金人的心声。尽管台风来袭,依然有不少患者来到医院就诊,大楼外狂风大作,诊室内秩序井然。



除了常规的急诊病人,因强风暴雨天气,更多了一些因雨天路滑而摔伤的患者,其中不乏一些抢险工作人员,还有被风刮下的铁皮擦伤的头皮伤。嘉定院区骨科接诊了一位骨折的道路养护工人,医院以最快的速度为工人安排检查并开展后续治疗。



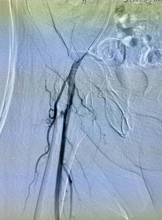
“当时患者血压都已不稳定。他的情况需要特殊支架材料。手术在医院10号楼做,材料在3号楼。但是时间就是生命,此刻大家已顾不上自己”。台风最猛烈的时候,放射介入科王忠敏医生团队一起在雨里辗转把特殊材料送到手术室,虽然穿着雨衣,但大家仍湿透全身衣服。最终,通过急诊手术为患者堵住了出血的大动脉,把患者从死亡边缘拉了回来。

除了医护人员,医院后勤保障人员形成强而有力的支撑,在医院共同默默坚守。有在风雨路上奋力推着患者餐车前行的他;有护送灼伤康复患者如期出院而被雨水湿透后背的他;有为了确保大家安全而淌着雨水拉起戒备线的他们。



在雨后暖阳中
瑞金人的安心守护
下午18时,上海中心气象台解除台风蓝色预警信号,台风“贝碧嘉”离开上海。台风风力减弱的同时,医院立即开展路面落叶及杂物的清理和倒伏树木的处置,保障正常的医疗工作有序进行。各病区值班医护持续如常照护在院的每一位患者。



9月16日当天,瑞金医院各院区共接诊门诊患者1万余人,急诊患者近千人次,完成14台手术(其中7台为加急手术)。瑞金人的坚守,为患者得到及时有效的救治保驾护航。
阳光总在风雨后
你若安好
便是晴天
广博慈爱
健康为先
瑞金人
一直守护在身边
撰文 | 陆琳
编辑丨温兆琦