“感谢你们,救了我们一家人。”近日,上海市静安区中心医院(华山医院静安分院)神经外科团队成功为一名脑功能区巨大富血供脑膜瘤患者实施肿瘤切除手术,患者术后恢复良好,无明显后遗症。患者及家属向医护人员送上了锦旗表达感激之情。

患者张女士今年38岁,近年来,张女士一直有头昏不适症状,约一个月前出现了右下肢麻木、乏力、走路困难,察觉不对的张女士立即前往当地医院就诊。
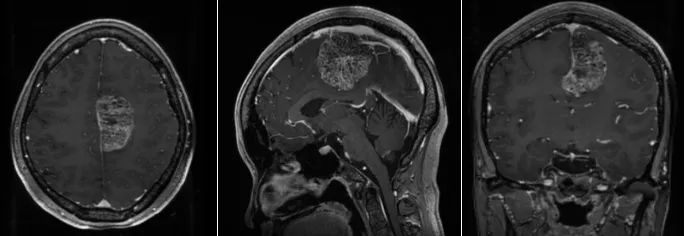
检查结果让全家大为震惊:张女士脑内长了颗鸭蛋大小的肿瘤(6*5*5厘米)。

随即,张女士一家前往上海市静安区中心医院(华山医院静安分院)就诊。经头颅MRI检查显示,脑肿瘤位于左侧大脑额顶叶功能区,且血供异常丰富,切除难度高,手术风险巨大。
面对这一棘手情况,华山医院鲍伟民教授和顾昕主任团队开展了严谨的术前讨论评估。顾昕认为,该患者左额顶功能区巨大脑膜瘤,手术指征非常明确。考虑到脑膜瘤体积大,血供丰富,术中极易出现大出血,同时切除肿瘤时,易损伤周边重要动静脉,造成不可逆的大面积脑梗死及回流障碍,术后出现肢体偏瘫麻木,脑肿胀脑出血甚至昏迷死亡。讨论后,建议采取导航下精准定位,保护好中央沟静脉及中央前后回,分块切除肿瘤。
手术在鲍伟民的指导下,由顾昕主任团队进行操作。凭借精湛的手术技巧和丰富的临床经验,手术团队对肿瘤进行精细剥离,耗时8小时,最终成功将镜下可见肿瘤完全切除。术后患者恢复良好,无神经功能障碍,目前患者已顺利出院。
若出现反复头痛呕吐,肢体乏力口齿不清等症状,要及时到正规医院就诊,排除以上症状是否由脑内疾病如出血梗塞肿瘤等引起,切莫延误病情。