我们经常会说根管治疗完后要套牙套进行保护,现在进行乳牙根管治疗的小朋友越来越多,那么,小朋友根管治疗后需要做牙套吗?

其实,如果小朋友乳牙缺损较大,难以充填或者严重磨耗以及根管治疗完成后,都建议做一个“小牙套”,既可以保护牙齿并增加牙齿的强度,又能够确保乳牙被恒牙顺利替换,这种“小牙套”就叫预成冠。后牙通常是不锈钢金属牙冠,就是我们常说的“小钢牙”,而前牙为了美观,通常为透明牙冠。

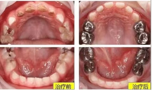
金属预成冠
一、什么时候需要做预成冠
1.牙体龋损较大,难以充填,充填物易脱落
2.根管治疗后的牙齿
3.牙齿发育不良,咬合丧失的牙
4.作为间隙保持器的固位体

二、预成冠的优点
1.防止继发龋的发生和充填物的脱落
金属预成冠表面光滑,边缘封闭性好,可以完全覆盖充填物及剩余牙体组织,同时避免了由于乳牙体积小、牙冠短、牙体硬组织薄而导致的充填物易脱落的问题。
2.恢复乳牙的形态和功能
龋损较大的患牙树脂修复很难恢复其解剖形态及高度,而金属预成冠可以有效地恢复乳磨牙的外形、邻接关系和咬合关系,保护剩余的牙体组织,增加乳牙硬度,更好地发挥咀嚼功能,促进颌骨发育。

前牙透明冠美观,能恢复解剖形态
3.延长乳牙的使用寿命
根管治疗后的乳磨牙,因牙齿失去营养,质地变脆,在使用过程中容易发生断裂,金属预成冠可以很好地保护脆弱的剩余牙体组织,延长了乳牙的使用寿命。
4.操作简单,椅旁完成
乳牙金属预成冠与恒牙牙冠相比,是根据牙齿的大小选择试戴合适的型号,不需要取模定制的复杂过程,并且磨除的牙体较少,尽量保留了牙体组织,椅旁一次治疗即可完成。
三、金属预成冠的禁忌证
1.患儿不能配合治疗的,有误吞误吸风险
2.X线片显示牙根吸收超过1/2,即将脱落的
3.患儿对金属过敏的(镍、铬)
4.患牙形态异常或者龋损过大,无法获得足够固位

四、家长关心的问题
Q
乳牙都是要换的,有必要做预成冠吗?
A
乳牙对于小朋友的咀嚼功能、颌骨发育均会造成影响,而且乳牙龋病等也会影响继承恒牙的萌出和发育。预成冠能更好地保护乳牙,延长乳牙寿命。
Q
预成冠是永久的吗?会影响替换恒牙吗?
A
预成冠是与乳牙粘接在一起的,并非永久的,在乳牙替换时会随着乳牙一起脱落,并不影响恒牙的正常替换。
Q
预成冠在嘴巴里,小朋友会难受吗?
A
在预成冠制作过程中,需要少量地调磨牙齿,预成冠最终的形态与乳牙一致,并不会有异物感,也并不会影响咀嚼、发音等。
目前,家长对于小朋友的口腔健康格外重视,除了常规的涂氟、窝沟封闭、龋病治疗外,也要及时为有需要的小牙齿穿上“小铠甲”,更好地保护我们的小牙齿。
▶假山喷泉、小桥流水……不够特别?这个口袋公园带还有限时水景、童真乐园和彩绘墙,周末来打卡吧!
▶我在静安教滑雪(My skiing & coaching life in Jing'an)丨我和静安
▶你发现了没?静安街头,这些“方便的小细节”,有了新提升!
▶全新VERSACE上海恒隆限时精品店正式揭幕