几天前傍晚,像往常一样结束一天的忙碌准备下班,同济大学附属同济医院骨科主任、学科带头人程黎明教授收到一幅寄到的锦旗:“辗转数院不敢收,同济樊手病根除”。

63岁的辜先生是一位沪上“985”大学的教授,15年前一场突如其来的车祸引起颈椎外伤并导致部分瘫痪,从此无法正常行走,但双下肢尚能站立给了他最后的安慰,让他不至于绝望。但3个月前,噩运再次降临:在进行康复运动的时候,辜先生不幸摔倒,双侧膝关节明显畸形,当地医院诊断为双侧股骨远端严重粉碎性骨折。由于长时间卧床所致严重的骨质疏松及长久肺炎所致的呼吸衰竭,让骨科和麻醉科医师都望而却步。带着畸形的双侧膝关节,他辗转沪上多家大医院未果。失望之际,他带了一丝期许,慕名来到同济大学附属同济医院,骨科副主任、骨科创伤骨科主任樊健教授为其分析病情后,决心勇挑重担,帮助辜先生实现站立的愿望。

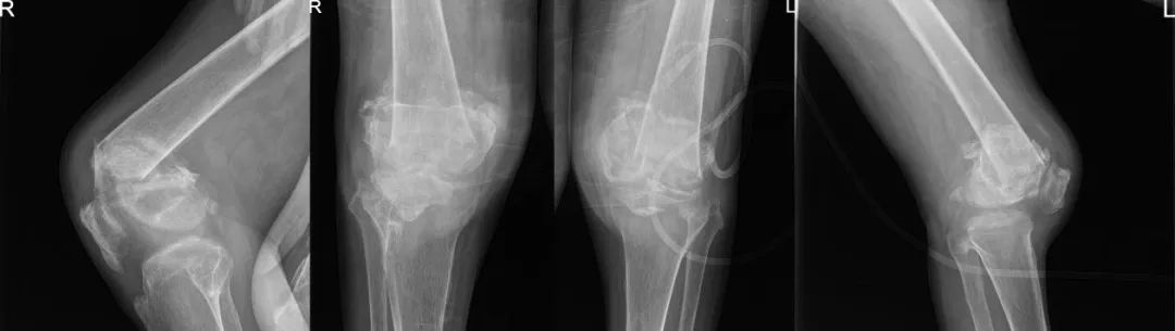
术前X线:双侧膝关节结构紊乱
辜先生住进同济医院骨科创伤病区后,樊健组织了科内讨论,对手术入路、固定方式、可能出现的并发症、应急方案及预期效果都进行了明确,家属也给予了充分的理解及支持。近日,经过充分的术前准备,在麻醉科执行主任刘健慧、副主任医师杨君君及手术室护理单元护士长姚英等人的通力配合,并采取有效措施拮抗呼衰等高风险情况下,樊健和主治医师姜超基于前期充分准备,使用手术导板等辅助工具,以最快速度、最小损伤完成截骨、对线、有效内固定等手术操作,重新恢复双侧患膝关节解剖。术后经过重症医学科副主任(主持工作)张磊等监护治疗后,辜先生不久即回到了骨科普通病房,姜超及骨科康复高翔医生等随即来到床边进行康复指导。当看到自己双侧膝关节恢复到正常位、想到日后又能站立时,辜先生及家属激动万分。

术后X线:双侧膝关节结构恢复
同济大学附属同济医院骨科作为国家临床重点建设专科、上海市“重中之重”临床重点学科,在学科带头人程黎明教授带领下发挥学科整体优势,积极推动手术微创化、精细化、智能化发展,力争以最小的创伤解决患者最大问题,尽最大的努力为百姓健康保驾护航。

樊健
医学博士、主任医师
博士研究生导师
骨科副主任、创伤骨科主任
专家门诊:周五上午
上海市医学会骨科分会创伤学组委员、上海市医师协会骨科分会骨肿瘤学组委员、上海市解剖学会骨科学组委员、上海市中西医结合学会创伤学组委员、上海市中西医结合学会老年病与骨质疏松学组委员、全国卫生生产企业管理协会骨科分会常委、国际矫形与创伤外科学会(SICOT)中国部青年学组委员、中国研究型医院神经再生与修复学组委员、中国康复医学会修复重建外科专业委员会老年髋部骨折学者委员、中国医药教育协会生物材料专委会委员;教育部学位中心学位论文评审专家、《骨科生物材料与临床研究》编委、《中华临床与解剖杂志》、《实用骨科杂志》、《同济大学学报》及多本SCI杂志审稿专家。
长期从事创伤骨科及多发伤急诊急救的临床工作,完成各类骨折及肢体功能重建等手术1万余台。在复杂四肢骨折、关节周围骨折、骨盆髋臼骨折及老年及骨质疏松性骨折等诊治方面具有相当经验。先后在美国宾夕法尼亚大学附属医院骨创伤中心、德国汉堡大学附属医院创伤骨科、澳大利亚南澳大学骨科/骨科研究所做Fellow或访问学者。
先后主持及参与国家自然科学基金、上海市自然科学基金、上海市科委医学创新专项及上海市卫生与健康委员会、上海申康医院发展中心、同济大学及同济医院等20余项基金课题;第一或通讯作者发表SCI论著22篇、中华系列15篇;以第一完成人获国家授权发明专利2项、实用新型专利11项,转化1项;以第一完成人获上海医学科技奖三等奖1项、上海市优秀发明选拔赛银、铜奖各1项及上海市星光计划优胜奖1项。常年承担同济大学本科及研究生骨创伤大课教学,作为课程负责人主持同济大学研究生课程《显微外科学基础》;培养硕士研究生10名,博士研究生5名,国际留学研究生1名。
网上预约挂号

图文|骨科
编辑|陈轩
审核|谢壮丽