春季流感高发,好多小朋友因上呼吸道感染去医院就诊。四岁的丫丫(化名)半个月前发烧了,医生给予了药物治疗,一周后的晚上却突然因为肚子痛半夜被家长送到上海市第八人民医院急诊。
经小儿腹部超声检查发现,丫丫竟然有胆囊结石。这可急坏了丫丫的爸爸妈妈,小朋友还这么小,怎么就有胆囊结石了呢?经询问病史得知,丫丫以前腹部超声检查没有胆囊结石,平时也没有右上腹痛的表现。最近患了流感,用了头孢曲松钠治疗。“原来如此!她可能是得了胆囊‘幽灵’结石。你们不用担心,过几天丫丫流感好了,停药之后再带她来复查,可能结石就没有了。”医生安慰家长,家长却是一脸疑惑。
上海市第八人民医院超声医学科住院医师郑紫薇解释,虽然“幽灵”结石听起来很可怕,但其实并不严重,因为这类结石总是像幽灵一样来无影去无踪,所以称它为“幽灵”结石。“幽灵”结石又称药物性胆囊结石,顾名思义,就是指某些药物导致的位于胆囊内的结石,丫丫最近治疗流感用的头孢曲松钠就是其中一种。
患者使用头孢曲松钠后发生胆汁淤积症状,其淤积物主要成分是头孢曲松钙盐所致的颗粒物质。停用该药物后,胆囊中的胆酸池又恢复平衡,胆固醇结石重新溶解,就会消失不见。

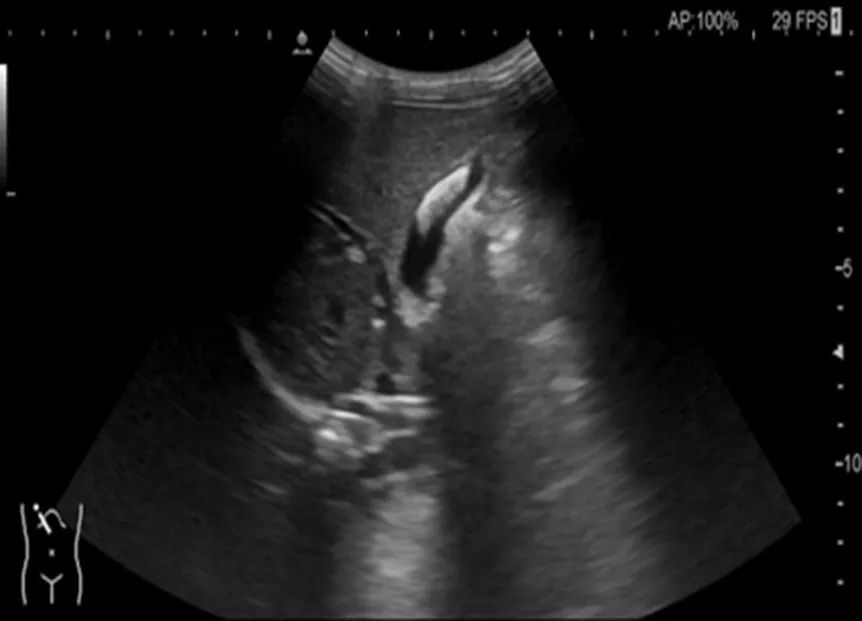
胆囊结石超声声像图

一周后复查,胆囊结石消失
过了一周,丫丫来复查,她的胆囊结石果然没有了。医生提醒各位宝爸宝妈,宝宝第一次发现胆囊结石不要慌,想想最近有没有特殊的用药史,及时告知医生,可以帮助医生有效地鉴别诊断。当然,一定要记得再去医院复查。
记者:吴会雄
编辑:宁平英
校对:耿洁玉
转载请注明来自上海徐汇官方账号