8月10日,云南省丘北县老百姓庆祝当地的传统节日“火把节”时,县医院手术室门口却有几位心急如焚的患者家属已经等待了8个小时。随着医务人员的一声呼唤,“张某某家属,手术顺利完成”,他们悬着的心终于放了下来。这是在华山医院第14批援滇医疗队的帮扶下,丘北县人民医院开展的第一例颅底肿瘤切除术。
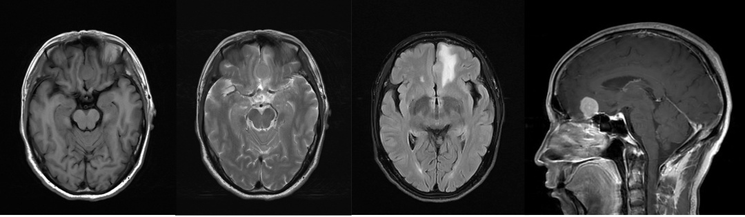
患者老张是一名50多岁的男子,因“近1周反复发作性意识丧失伴肢体抽搐”,于8月2日来到丘北县人民医院神经内科就诊,在完善头颅CT、MRI等相关检查后,他被诊断为“前颅底脑膜瘤”。住院后,县医院立即联系相关科室会诊,华山医院神经外科主治医师岳琪分析患者病情后,建议转入神经外科行手术治疗,与患者家属解释治疗方案及可能的风险后,家属表示充分信任神经外科团队、决定接受开颅肿瘤切除术。

磁共振显示前颅底脑膜瘤
此前,县医院没有开展过颅底肿瘤手术,针对老张的病情,需要做详尽的准备。岳医生与县医院神经外科主任杨华昌、护士长孙加会针对围手术期医护配合的诸多细节进行讨论,在得到他们的全力支持后,岳医生向远在上海的华山医院神经外科副主任医师赵帆远程汇报、一起制定手术方案。为了尽可能保护患者的左侧大脑半球、将潜在的语言功能等损伤降至最低,尽管肿瘤主体偏向左侧,赵帆医生仍建议“舍近求远”,采用右侧额外侧入路切除肿瘤,而颅底肿瘤手术“一寸深、一寸险”,无疑对手术团队提出了更高的要求。
手术前一晚,援滇医疗队队员在周支瑞队长的主持下,讨论患者的治疗方案及围手术期管理,华山医院心内科主治医师熊楠青、感染科主治医师李发红为患者术后可能出现的心肺并发症准备了治疗预案,五官科主治医师洪娟对术中嗅神经保护及术后嗅觉评估康复等提出了宝贵建议,队伍群策群力,为手术的安全保驾护航。

一切准备就绪后,在麻醉师和手术室护士的密切配合下,神经外科团队迎难而上。岳琪医生在丘北县人民医院神经外科副主任医师李啟能、主治医师付志为的协助下顺利完成右侧额外侧入路开颅,剪开硬膜后,发现患者脑压较高、尚无充足的颅底操作空间,于是依次打开侧裂池、颈内动脉池、视交叉池释放脑脊液,待脑压下降后经右侧额叶下方暴露肿瘤,肿瘤质地极硬、边界欠清。在铲除肿瘤基底,进行部分瘤内减压后,显露出穿行于肿瘤内部的右侧额极动脉,岳医生依次离断该动脉供应肿瘤的三根分支、将“骨骼化”的动脉充分游离。随着手术的顺利进行,医护团队的配合也更加默契,“弯剪刀”“110/2.5吸引器”“130/1.5吸引器”,洗手护士陈凤与主刀医生相互配合。最终,手术达到Simpson I级切除,肿瘤与肿瘤附着的硬膜全切除,颅底硬膜缺损予以修补。

在病房医护团队的精心照料下,老张一天天地好转起来,癫痫未再发作,嗅觉也逐渐恢复,没有明显的神经功能障碍。手术团队认真总结该病例,认为此例颅底肿瘤切除术的成功开展,得益于神经外科、手术室、麻醉科等多学科团队的有效配合,这次手术为丘北县人民医院今后开展高风险脑肿瘤手术积累了宝贵经验。

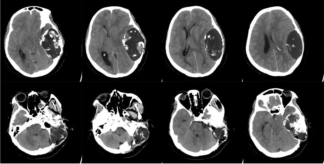
几天后,岳琪博士接到了县医院神经外科副主任医师陈朝华的电话,一位41岁的女性患者因头痛、嗜睡来到急诊,头颅CT显示左侧中后颅底巨大占位,病灶侵蚀岩骨、包绕颈内动脉,中线明显偏移,但患者家庭经济状况不佳,仅希望保守治疗。岳琪医生分析病情后,认为开颅手术是目前降低颅高压、延长生存时间的唯一手段,断然放弃实属可惜,于是向援滇医疗队汇报,大家提出申请救助金等方法解决患者后顾之忧,患者家属同意手术治疗。针对这位患者,周支瑞医生、岳琪医生和洪娟医生展开多学科协作,制定了幕上下联合入路切除肿瘤、辅以术后放疗的治疗方案。手术顺利实施,患者将于近期出院。

CT显示左侧中颅底软骨肉瘤
医疗队抵达丘北县人民医院后,在神经外科主治医师岳琪的指导下已开展数例难度较大的脑肿瘤手术。岳琪医生师从华山医院神经外科毛颖教授和陈亮教授,抵达县医院后,提出“传承-规范化-发展”的工作思路,旨在传承过去7年技术帮扶的基础上,引进国家神经疾病医学中心诊疗常规,规范丘北县颅脑外伤、脑出血等诊治流程,并在颅底肿瘤手术等更高领域做出突破。
文丨第14批援滇医疗队
神经外科岳琪、放疗科周支瑞
喜欢就奖励一个“”和“在看”呗