近日, 在上海市呼吸质控中心工作年会上,宝山区中西医结合医院被国家呼吸医疗质控中心授予国家呼吸医疗质量控制与管理哨点医院,标志着医院呼吸危重症医学学科建设取得明显成效。

医院呼吸危重症医学科在间质性肺病、慢阻肺、哮喘领域的临床诊治、科研方面均具有较强的优势,承担包括国家自然科学基金、上海市自然科学基金、上海市卫健委临床专项等多项呼吸系统疾病相关的各级科研项目。科室团队在呼吸慢病方面形成了系统、完整的多学科联合诊疗体系以及规范的随访跟踪,尤其在中西医结合诊疗方面经验丰富,为更多呼吸道疾病患者提供高质量的医疗救治与护理。

除普通门诊外,医院呼吸危重症医学科还设有以下专病门诊,将亚专科诊疗细化,针对不同疾病,为患者制定个体化诊疗方案。
慢阻肺专病门诊
慢性阻塞性肺疾病简称慢阻肺,是一种常见的慢性气道疾病。其特征是持续存在的气流受限和相应的呼吸系统症状,主要表现为咳嗽、咳痰、气短或呼吸困难等,严重时可合并呼吸衰竭、肺心病、肺性脑病等。此外,发生肺癌、肺栓塞、肺部真菌感染的几率也明显升高。

慢阻肺专病门诊主要针对慢阻肺进行诊断治疗、用药指导、肺功能监测、肺康复等,实施包括穴位敷贴、穴位注射、定向透药、针灸理疗等中西医结合综合治疗方案,对慢阻肺患者实行长期健康管理。
慢阻肺专病诊疗项目包括且不限于:

门诊时间:周四上午
哮喘专病门诊
支气管哮喘简称哮喘,临床表现为发作性的喘息、咳嗽、胸闷等。诊断不及时、治疗不规范以及缺乏慢性病管理都会导致该疾病的急性发作,严重者合并心衰、呼吸衰竭,甚至危及生命。
医院有肺功能检查(支气管舒张试验、一氧化氮呼吸测定等)和过敏原检查等完善的相关检查项目。针对难治性哮喘制定个体化治疗方案,包括雾化吸入、生物制剂、脱敏治疗、中药内服+中医外治等。
门诊时间:周一上午
间质性肺病专病门诊
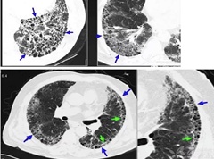
间质性肺病是呼吸学科公认的疑难病症之一,可由早期无症状(仅CT异常)逐渐发展至咳嗽、气短,甚至呼吸衰竭。该病早期诊断、规范化治疗及长期随访对于预后至关重要。

很多人都听过“肺纤维灶”和“肺纤维化”。病毒感染引起的生理性变化可导致肺纤维化和许多长期并发症的发生。部分患者的肺部影像存在异常,最常见的就是合并间质性改变包括纤维化病灶。一旦发生肺纤维化改变应严密观察和监测,必要时进行药物治疗干预。
门诊时间:周一至周五全天,周六、周日上午